La ecografía abdominal digestiva forma parte de nuestras actividades rutinarias. Ocupa un lugar importante dentro de las diferentes técnicas realizadas en nuestra especialidad. Manteniendo la constante formación de nuestro personal y de los residentes que por ella rotan.
Todo ello, con la intención de mantener la calidad y la excelencia en evaluación de la patología digestiva, de los pacientes de nuestro Hospital.
Exploraciones Funcionales Ecografías

La sección de Ecografía del Servicio de Aparato Digestivo del Hospital Central de la Defensa “Gómez Ulla”, consta de dos salas en funcionamiento, cada una de ellas con un ecógrafo de nueva generación (Siemens Red Wood, Canon i800). Realizando entre 10-17 exploraciones diarias, unas 1200-1500 exploraciones al año.
Es una técnica inocua, segura y accesible para todos los pacientes de nuestro Servicio, tanto ambulantes, como hospitalizados. Prestando ayuda y soporte, en algunos casos, a pacientes de otras especialidades del Hospital.
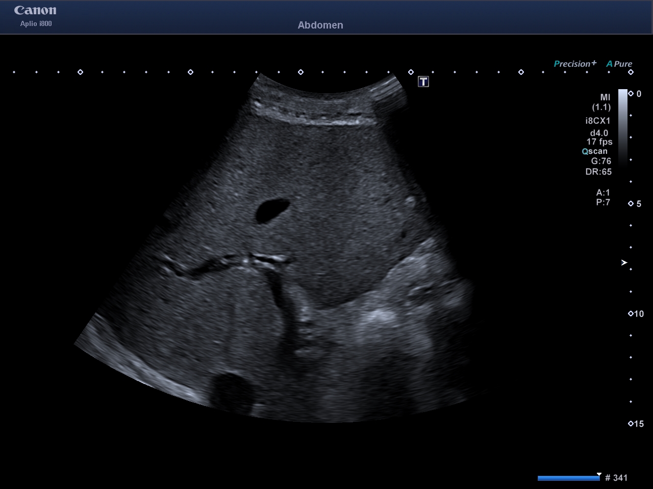
Ecografía abdominal: Con esta técnica podemos evaluar diferentes órganos intraabdominales: hígado, bazo, vesícula biliar, páncreas, riñones, vejiga y grandes vasos abdominales. Desde hace varios años disponemos de contrastes ecográficos intravenosos que nos ayudan a mejorar la caracterización de ciertas lesiones a nivel hepático, vía biliar, vasculares, entre otras. Su seguridad, ausencia de hepato o nefrotoxicidad nos permiten administrarlos en algunos pacientes con ciertas patologías, que de otra forma no podrían recibir otro tipo de contrastes.
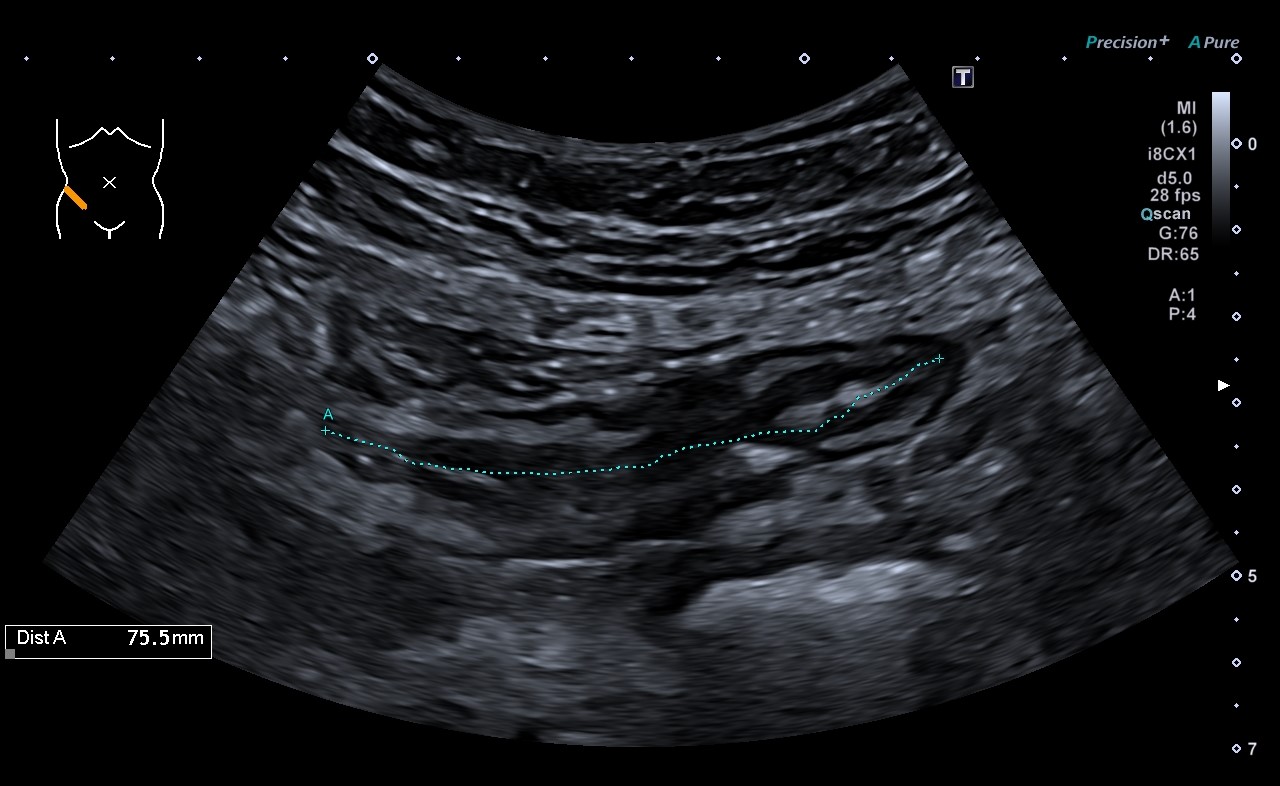
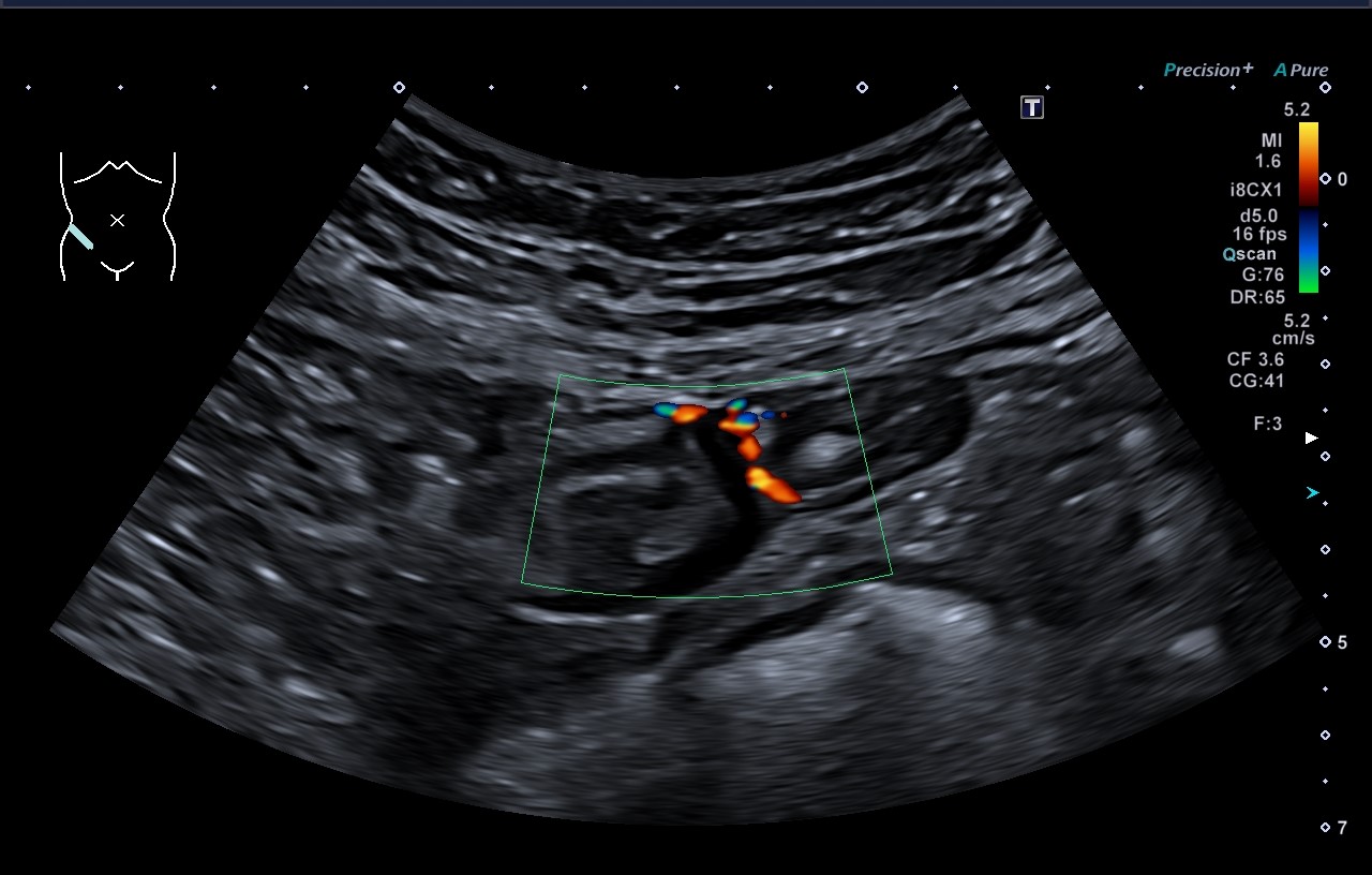
Ecografía intestinal: con la obtención ecógrafos de nueva generación y de sondas de alta frecuencia, podemos evaluar el tubo digestivo, por lo que estamos usando esta ventaja para el diagnóstico, evaluación y seguimiento de pacientes con enfermedad inflamatoria intestinal.
Elastografía: es una técnica que permite evaluar el grado de fibrosis (dureza) del hígado en diferente tipo de enfermedades. Lo que ha permitido reducir el número de biopsias hepáticas por esta causa. Contamos con 2 técnicas elastográficas: ARFI (Acoustic Radiation Force Impulse) y SWE (Shear wave Elastography).
Biopsia hepática, punciones de tumores (LOEs): a través de la ecografía podemos orientar o guiar las punciones hepáticas. Esto nos permite recoger una muestra de tejido, lo cual es muy útil para ayudar a diagnosticar distintos tipos de enfermedades del Hígado. Igualmente podemos tomar muestras de lesiones o tumores, que se encuentren en el hígado, cercanos al mismo o que sean accesibles por vía abdominal (transparietal).
Existe un gran interés por la formación de los residentes. Cumplimos con el programa actual de formación de la Especialidad de Aparato Digestivo, redactado por la Comisión Nacional de la Especialidad de Aparato Digestivo (CNEAD), ratificado por el Consejo Nacional de Especialidades en Ciencias de la Salud y la Comisión de Recursos Humanos del Sistema Nacional de Salud, y publicado por el Ministerio de Sanidad y Política Social en 2009 (orden ministerial SAS/2854/2009 de 9 de octubre). Trabajamos por y para la correcta formación de nuestros residentes. En los últimos años, colaboramos igualmente con la formación de residentes de otros Hospitales; los cuales desean aprender esta técnica, para poder aplicarla cuando finalicen la especialidad.
El grupo de médicos especialistas acude con frecuencia a charlas y cursos de formación, para mantener actualizadas las diferentes técnicas. Formamos parte de la Asociación española de ecografía Digestiva (AEED), e intentamos mantener nuestra presencia activa en Jornadas y Congresos, no solo de forma asistencial, sino también a través de comunicaciones o posters.




